Groundbreaking Brain Scan Identifies Alzheimer’s Prior to Symptom Onset
News Mania Desk / Piyal Chatterjee / 27th May 2025

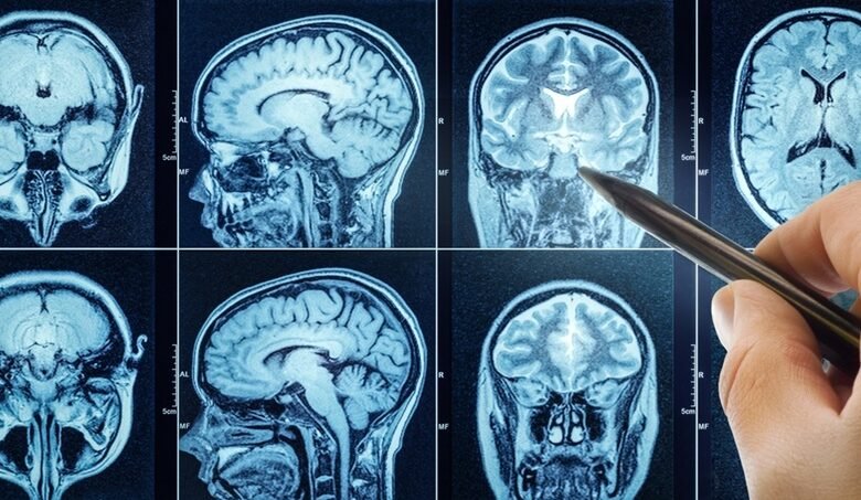
Researchers have developed a groundbreaking brain scanning method that may detect indicators of Alzheimer’s disease, years prior to the onset of symptoms. Employing a method known as cortical disarray measurement (CDM), which examines MRI scans to identify more subtle indicators of neurodegeneration, researchers aim to assist millions worried about dementia.
At present, physicians identify conditions such as dementia by utilizing a mix of surveys that indicate memory issues along with MRI imaging. Nonetheless, this procedure indicates that individuals are identified only after the illness has advanced.
With the new “precision diagnostic tool,” physicians will be able to detect disturbances in the cortex’s structure and function, especially those linked to abilities like memory, decision-making, and language.
“Our sophisticated diffusion analysis is based on a deep understanding of neuropathology, and the correlations between microscopic brain data and MRI analysis,” British company Oxford Brain Diagnostics, which developed the novel technique, said in a statement .
According to the company, CDM serves as a comprehensive solution that is cloud-based, non-intrusive, and tracks brain changes in individuals throughout the various stages of adulthood.
CDM Insights analyzes clinical MRI scan data obtained from 1.5T and 3T scanners. It subsequently provides results in the shapes of images and numerical figures, typically shown as percentiles of a standard population distribution.
The unique technology has already been classified by the US Food and Drug Administration for application in the United States as a “breakthrough” device.
Dr. Steven Chance, ex-associate professor of neuroscience at Oxford, along with Prof. Mark Jenkinson, a prominent authority in brain imaging, are the masterminds behind the company, with UK investment firm BGF and the Oxford Technology & Innovations Fund supplying the venture’s funding.
Last month, scientists at Mass General Brigham developed an artificial intelligence (AI) tool that can forecast brain deterioration in patients several years ahead.
The AI tool examines slight variations in brain activity during sleep through electroencephalography (EEG) to generate the prediction. In one of the studies, it accurately identified 85 percent of individuals who later faced cognitive decline, achieving an overall accuracy of 77 percent.
The World Health Organization (WHO) states that approximately 55 million people globally are affected by dementia. Numerous studies indicate that changes in behavior and physiological functions may arise before cognitive impairment begins. Recognizing these signals during the early stages could possibly offer a more favorable opportunity for effective interventions.



